在线询价
Product center

产品展示

首页 > 产品展示
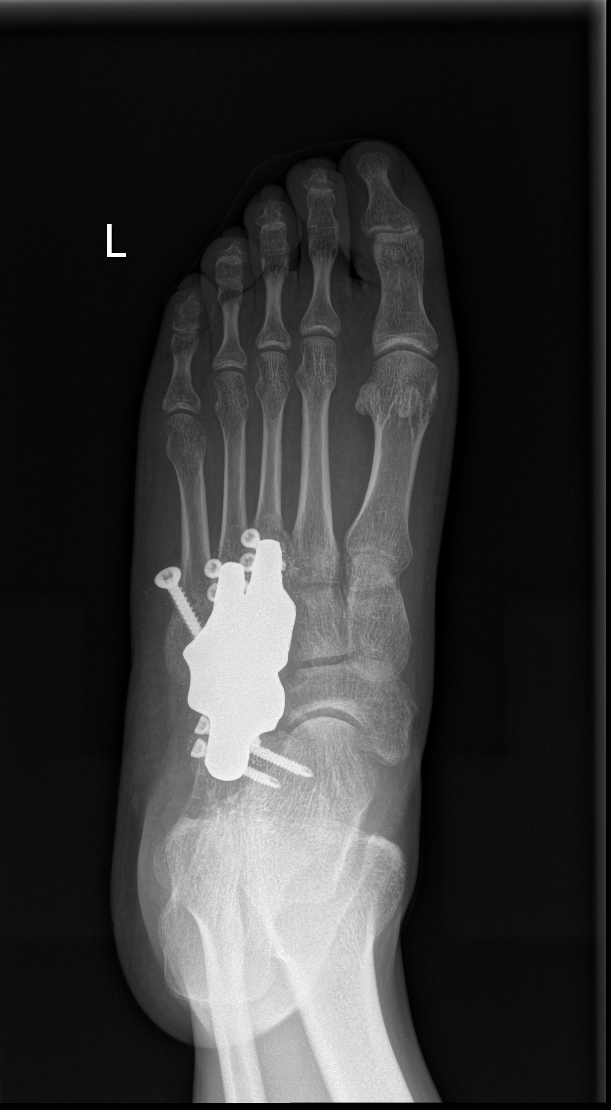
中足骨缺损 价格:

在线询价
详细内容 规格参数 产品包装

产品特性: 生物惰性钽金属:零排异,安全植入;梯度仿生多孔,微孔促骨长入与血管化,远期实现生物固定;精准解剖匹配,CT建模定制舟骨/楔骨形态,贴合足弓曲度;力学三重优化:弹性模量近松质骨+表面耐磨处理+抗疲劳承重设计

 

适用症:创伤性中足大段骨缺损(如Lisfranc损伤后);足舟骨坏死/塌陷重建;骨肿瘤切除后结构性支撑;感染清创或翻修术骨缺损修复

 


© 2026 伟坦(大连)生物材料有限公司  All Rights Reserved. 腾云建站仅向商家提供技术服务